Zubní kámen u dětí: Jak ho odhalit včas a co dělat?

  • Domů
  • Zubní kámen u dětí: Jak ho odhalit včas a co dělat?
Zubní kámen u dětí: Jak ho odhalit včas a co dělat?

Začíná to nepatrným nahnědlým proužkem u dásně. Málokdo si ho všímne, dokud se na něj lékař nezaměří přesným světlem a neřekne tu fatální větu. Zubní kámen, odborně řečeno dentinální kónkus, je pro rodiče často překvapením, které málokomu přišlo. Nejde jen o estetickou vadu, která se špatně fotí. Pokud ignorujeme tvrdé usazeniny na povrchu zubů, dráždí okolní tkáně a otvírá cestu hlubokým problémům. Klíč je v tom, abychom viděli varovné signály dřív, než bude pozdě.

Co vlastně zubní kámen je?

Představte si, že každé ráno na jazyce a tvářích cítíte tenkou vrstvu, která zůstala po spánku. To je začátek procesu. Když dítě špatně čistí zuby nebo používá špatnou techniku, bakterie ze slin a potravy vytvářejí lepkavý film. Ten se nazývá zubní plak. Je to živá kolonie baktérií, kterou můžeš smýt vodou nebo umyt houbičkou.

Potíže nastanou, když tento film ztvrdne. Minerály ze slin vápník a fosfor pronikají do této bakteriální pasty. Za pouhé 24 až 48 hodin začíná měknout a po několika týdnech se stává kamenným blokem. Tento proces je nevratný doma. Není možné to smýt pastou. Čím déle zůstává zubní kámen na zubech, tím víc se tam usazuje další plak. Funguje to jako betonová deska na budově - čím silnější základ, tím těžší stavba.

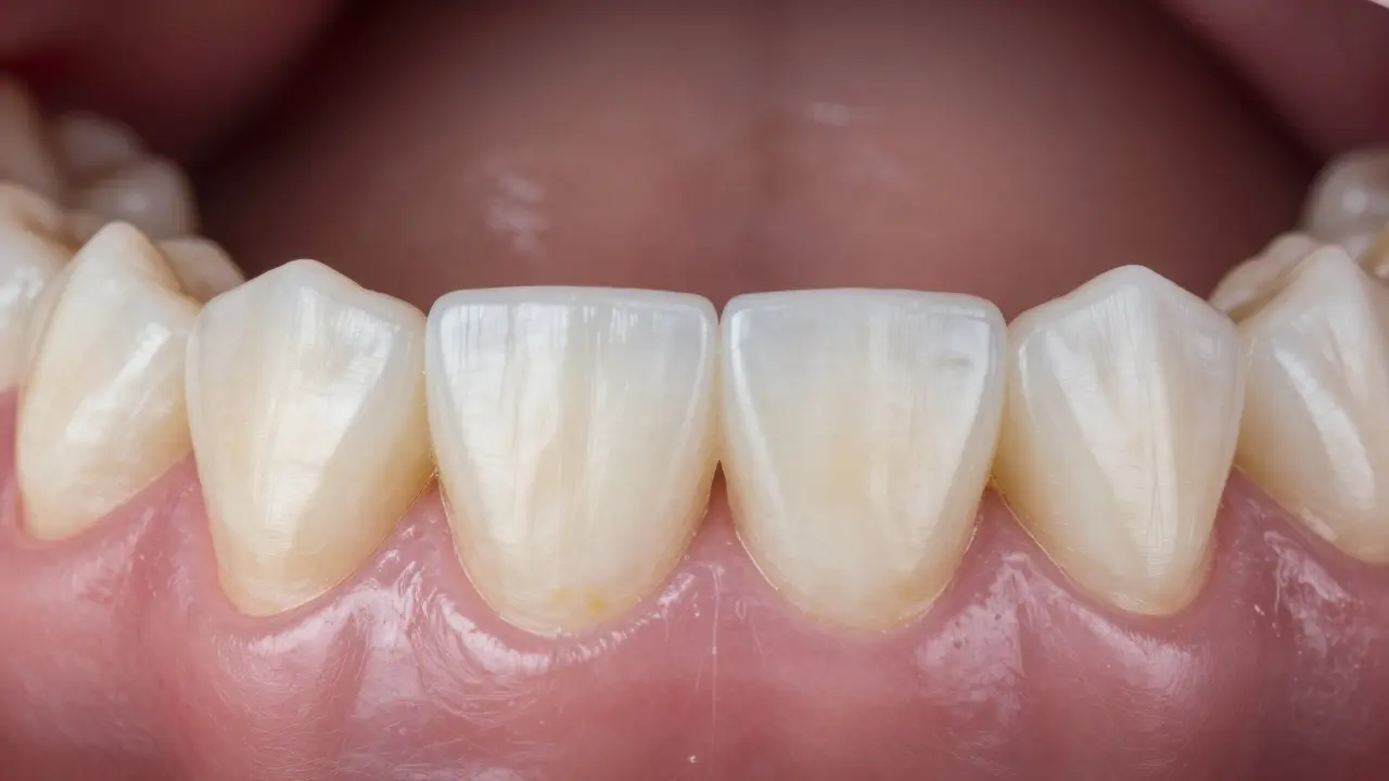
Vizuální znaky, podle kterých poznáte nebezpečí

Rodiče často čekají, až se dítě bude stěžovat na bolest. To je ale již důkaz selhání imunity. Mějte na mysli tři hlavní indikátory, které zjistíte během večerní kontroly:

  • Barva usazenin: Světle žlutá barva značí čerstvě vzniklý kámen nad hranou dásně. Tmavě hnědá nebo šedivá barva znamená, že usazeniny rostou dlouho a jsou pod hranou dásně.
  • Lokalizace: Nejčastěji se objevuje na spodních předních zubech. Tam ústí žlázy a proud slin je nejvýraznější.
  • Reakce dásně: Dásně kolem kamenitého hrbolku jsou červenější než obvykle a při čištění krvácí snadněji.

Když dítě otevře pusu a vy vidíte něco, co vypadá jako zaschlý sáček v okolí, nečekejte. Tyto útvary způsobují mechanické podráždění. Tvrdozobý kámen se nedá slechtit běžným kartáčováním, takže tlak kartáčku proti němu dráždí dásně ještě více.

Chlapec si důkladně čistí zuby elektrickou kartáčkou doma.

Rizika, když to necháme být

Ignorování problému není cesta. U dospělých se o tomto problému mluví souvislostí s diabetem či srdečními chorobami, ale u dětí je situace jiná. Riziko se týká primárně trvalé ztráty kosti v čelisti. Pokud je kámen mezi zuby, tvoří kapsu, kde se hromadí bakterie, které ničí pojivové vlákna držící zub.

Dopad zubního kamene na různé věkové skupiny
Věk Typ rizika Příznaky
Mládší školák (6-10 let) Zánět dásní (gingivitida) Krvácení při čištění, puchýřky
Starší školák (11-14 let) Parodontóza mládeže Vyklopení dásní, citlivost
Puberta (15+ let) Ztrata kosti Volné zuby, zápach z úst

Existuje specifický typ zánětu, který postihuje pubescenty a nazývá se puberturní parodontitida. Hormonální změny změní chemii dásní, takže i menší množství plaku způsobí větší zánět. Pokud máte ve svém okolí teenagera s chronickým zánětem dásní, zkuste projít hygienicko-dentální historii. Často jde o dlouhodobé opakování bez správného ošetření.

Prevence a denní hygiena

Jediná cesta, jak zabránit tvrdnutí plaku, je jeho fyzické odstranění, dokud je stále měkký. Pro malé děti to znamená, že se musí čistit pod dohledem. Samotný nástup k samostatnosti bývá někdy o krok dříve, než si myslíme. Zde jsou konkrétní kroky pro účinnou prevenci:

  1. Kontrola kartáčkování: Používejte pasty, které nemají příliš vysoký obsah abrazivních látek, aby nezničili sklovinu. Dobrou volbou jsou fluorkové paste pro děti.
  2. Elektrická zubní kartička: Studie ukazují, že rotační hlavičky jsou efektivnější než ruční pohyby u dětí starších 6 let. Hranici určuje koordinace ruky.
  3. Mezizubní klíny: Pro mladší děti, jejichž mezizubní prostory nejsou široké, existují malá meziklinová klína nebo speciální nitě pro děti.
  4. Irigan: Zavlažovače vody pomáhají vymýt jídlo z mezi, ale nenahrazují kartáč.

Velkou chybou je, že rodiče věnují pozornost pouze viditelným zubům. Spodní řada je často zapomenuta. Právě tam je tok slin největší a kalifornita se hromadí nejrychleji.

Zubní lékař vyšetřuje dítě v moderní ordinaci na preventivní prohlídce.

Jak probíhá ošetření u stomatologa

Pokud jste už kámen našli, domů jej neodstraníte. Potřebujete navštívit stomatologa. Lékaři využívají dva hlavní postupy.

První je ultrazvukové čištění. Aparát vibrací roztřepí minerální strukturu kamene. Je to rychlejší metoda, vhodná pro většinu případů, ale může být bolestivá na velmi jemných zubech. Druhou metodou je manuální kyretáž speciálními háčky. Ta je pomalejší, ale citlivější, protože umožňuje lépe vnímat povrch. Po proceduře následuje polštění, kdy se povrch zubů udělá hladkým, aby se plak znovu snáze držel.

Časté otázky a rozporuplné názory

Když se lidé ptají, vyskytují se často podobné dotazy, které stojí za upřesnění.

  • Je to bolestivé? Samo odstranění nebolí. Bolest může dojít teprve v průběhu, pokud byly dásně zánětlivé. Citlivost po zákroku trvá pár dní.
  • Mohu to zvládnout doma? Neexistuje žádný přírodní prostředek ani citronová šťáva, která by rozpustila kámen. Kyselina jen poškozuje sklovinu.
  • Cvičuje to? Často je toto téma spojeno s výživou. Mléko a maso zvyšují pH, což zabraňuje tvorbě, zatímco cukrovinky podporují.

Jak často mám dítě vést na dentální kontrolu?

Obecná doporučení naznačují, že preventivní prohlídka by měla proběhnout každých šest měsíců. Pokud má dítě tendenci ke tvorbě plaku, lze zvážit kratší intervaly, například každé 4 měsíce.

Vypadá zubní kámen jako kaz?

Ne vždy. Kaz se projevuje černými skvrnami na povrchu skloviny, zatímco zubní kámen je hrubý povrchový útvar, který se nachází především blízko dásňového okraje.

Může zubní kámen padat sám od sebe?

Někdy uvolněný kámen spadne během intenzivní konzumace tvrdé potraviny, ale obvykle to signalizuje ztrátu podpory kosti. Proto je lepší odstranit profesionálně.

Ovlivňuje kámen dech?

Ano, halitóza (zápach z úst) je jednoznačně spojená s přítomností anaerobních baktérií, které žijí právě v hlubokých kapsách kamene.

Měly by děti používat elektrickou kartičku?

Pro děti nad 6 let s dostatečnou koordinací jsou elektrické kartičky efektivnější, pokud mají hlavu s měkkou štětičkou.

Šance, že se problematika vyřeší sama, je nulová. Pokud si uvědomíte, že je potřeba pravidelně sledovat ústa, můžete šetřit čas a peníze. V případě pochybností se vždy obraťte přímo na odborníka v místě bydliště.

Zpět nahoru