Jak odstranit zubní kámen pod dásní bez bolesti: přirozené a bezpečné metody

  • Domů
  • Jak odstranit zubní kámen pod dásní bez bolesti: přirozené a bezpečné metody
Jak odstranit zubní kámen pod dásní bez bolesti: přirozené a bezpečné metody

Vyhodnocovač rizika zubního kamene

Tento nástroj vám pomůže posoudit riziko vzniku zubního kamene pod dásní na základě vašich denních zubních návyků a příznaků. Výsledek vám ukáže, zda je třeba okamžitě navštívit zubního hygienika.

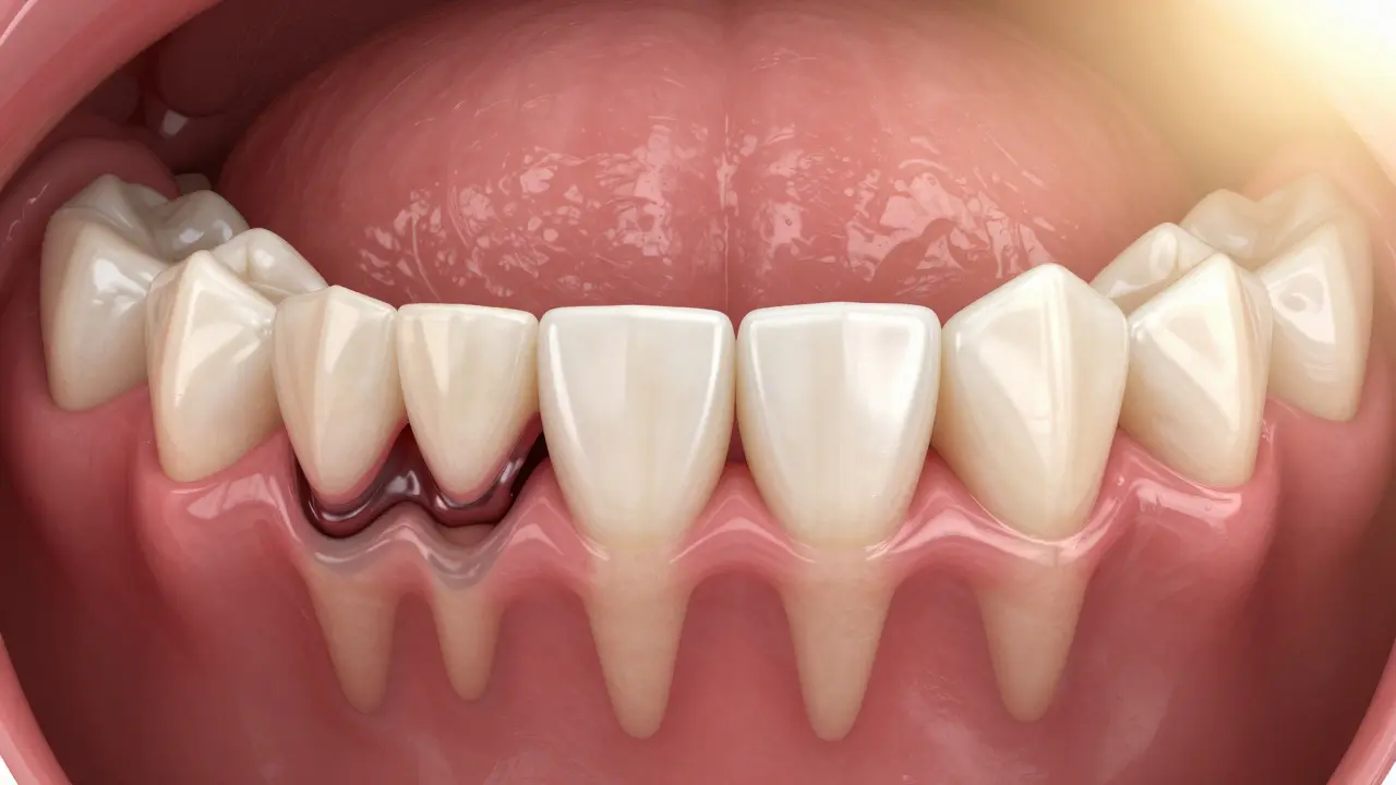
Zubní kámen pod dásní je jedna z nejčastějších příčin zánětů dásní, krvácení a dokonce ztráty zubů. Mnoho lidí si myslí, že ho lze odstranit doma pomocí štětce nebo nitě - ale to je iluze. Kámen pod dásní není jen „špína“ na zubech. Je to tvrdý, vápenitý návrh, který se vytváří v ústech po dlouhém působení bakterií a zbytků jídla. A protože se nachází přesně tam, kde štětec nedosáhne, domácí metody často selhávají - a zbytečně bolestí zbytečně poškozují citlivé tkáně.

Proč zubní kámen pod dásní není jen „špína“

Zubní kámen se vytváří z plaku - tenké vrstvy bakterií, která se na zubech tvoří každý den. Když plak neodstraníte pravidelně, začíná vápenitět. Během několika týdnů se z něj stane tvrdý, skálovitý povlak, který se přilepí k zubům i pod dásně. Tenhle kámen není bílý nebo žlutý, jako kámen na viditelných částech zubů. Pod dásní je často tmavý, šedý, nebo dokonce černý. A protože je skrytý, nevidíte ho - ale vaše dásně to cítí. Krvácí, bolí, způsobují zápach z úst, a postupně se odlepují od zubu. To je první známka parodontitidy - závažného onemocnění, které může vést ke ztrátě zubů.

Není to otázka „pěknosti“. Je to otázka zdraví. Studie z Ústavu zubního lékařství v Praze (2024) ukázaly, že 68 % dospělých v Česku má alespoň mírný zubní kámen pod dásní, ale jen 12 % z nich jej nechalo odstranit odborníkem. Většina se snaží „vyčistit“ to sám - a zbytečně si poškozuje dásně.

Proč domácí metody selhávají

Na internetu najdete spoustu „triků“: od solného roztoku přes vodné kyseliny až po „odstraňování“ špachtelkou nebo zubní nití. Všechny tyto metody jsou nebezpečné. Špachtelka může způsobit trvalé poškození dásně. Kyseliny mohou spálit sliznici. Nit může jen vytáhnout kámen z jednoho místa - a zanechat ho na jiném. A solný roztok? Ten pomůže jen zklidit zánět, ale zubní kámen neodstraní. Nikdy.

Podobně funguje i „čištění“ pomocí bicí sody nebo uhlí. Tyto látky jsou abrazivní - tedy drsné. Když je použijete na citlivé dásně, způsobíte jen více zranění. Dásně se stáhnou, zuby budou citlivější, a kámen zůstane na místě - protože je přilepený k zubu, ne jen na povrchu.

Jak se skutečně odstraní zubní kámen pod dásní

Jediný bezpečný a účinný způsob, jak odstranit zubní kámen pod dásní, je profesionální čištění u zubního hygienika. Tento postup se nazývá skalpelové čištění nebo ultrazvukové čištění. Nejde o „běžné čištění“, ale o hluboké očištění - takzvané scaling a root planing.

Ultrazvukové zařízení vydává vysokofrekvenční vlny, které rozpadají kámen na mikročástice. Zároveň vydává jemný proud vody, který ochlazuje tkáně a vyplavuje bakterie. Následuje ruční čištění jemnými nástroji - bez škrábání, bez bolesti. Pokud je kámen hluboko pod dásní, lékař může použít i malé zrcátko a světlo, aby viděl přesně, kde se nachází.

Ve většině případů je celý proces bezbolestný. Pokud máte citlivé dásně nebo zánět, lékař vám může aplikovat lokální anestetikum - jen na dásni. To není „injekce do zubu“, ale jemný výpar na povrchu. Mnoho pacientů říká, že to bylo mnohem méně nepříjemné, než si představovali.

Zubní hygienik používá ultrazvukový nástroj při čištění pod dásní, pacient je klidný.

Co se stane, když to necháte běžet

Když zubní kámen pod dásní necháte bez úpravy, věc se zhoršuje. Krok za krokem:

  • 1. měsíc: Dásně začnou krvácet při čištění. Zápach z úst se zhoršuje.
  • 3 měsíce: Dásně se začínají stahovat. Zuby se zdají „delší“. Zvýší se citlivost na teplé a studené potraviny.
  • 6 měsíců: Vznikají zářezové dutiny mezi zuby a dásními. Bakterie pronikají do kosti.
  • 1 rok: Kost kolem zubu začíná zanikat. Zuby se začínají hýbat. Léčba je daleko dražší a náročnější.

Podle dat z Národního ústavu zdravotní péče (2025) je 41 % případů ztráty zubů u dospělých v Česku přímo spojeno s nelečeným zubním kamenem pod dásní. A to je zbytečné - protože to lze zastavit.

Jak předcházet návratu zubního kamene

Po odstranění kameně je klíčové, abyste ho nevypěstovali znovu. To znamená:

  • Čištění dvakrát denně: Používejte zubní kartáček s měkkými štětinami a fluoridovou pastou. Nečekejte, až se „načistí“ - čistěte každý den.
  • Nitě nebo mezizubní kartáčky: Doplňují čištění tam, kde štětec nedosáhne. Zvláště důležité pro ty, kdo mají těsnější zuby.
  • Čištění jazyka: Bakterie se shromažďují i na jazyce. Používejte jazykový škrábač.
  • Navštěvujte hygienika každých 6-12 měsíců: Dokonce i když nic nebojíte. Předcházíte vzniku kameně, nebo jej odstraňujete hned na začátku.
  • Omezte cukr a sladké nápoje: Bakterie se živí cukrem. Čím méně ho máte, tím méně plaku vzniká.
Porovnání zdravých a nemocných dásní: před a po profesionálním čištění.

Co dělat, když máte bolest nebo krvácení

Než půjdete k hygienikovi, můžete zklidit dásně:

  • Proplachujte ústa teplou solnou vodou (1 šálek vody + 1/2 lžičky soli) dvakrát denně.
  • Používejte pastu s chlorhexidinem - ale jen krátce (max. 14 dní). Dlouhodobě může způsobit zbarvení zubů.
  • Vyhněte se alkoholu a kouření - oba zhoršují zánět dásní.

Nezkoušejte si to „vyčistit“ sám. Nezakládejte si na domácích „trikách“. Když cítíte, že dásně krvácí, nebo že zuby „nejsou v pohodě“ - jste už v čase, kdy je třeba jít k odborníku.

Je to drahé?

Ne. Profesionální čištění pod dásní v Česku stojí průměrně 800-1 500 Kč. To je méně než cena jednoho zubního výplně. A pokud máte zdravotní pojištění, většina z toho je hrazena. Většina zubních hygieniků nabízí i rozložení platby. Pokud jste se báli, že to bude nákladné - teď víte: to není pravda.

Co se stane po čištění?

Po odstranění kameně se dásně zahojí. Většina lidí cítí změnu už za 2-3 dny: krvácení přestane, zápach zmizí, zuby se přestanou cítit „tak citlivé“. Po týdnu je dásně pevnější, a po měsíci už je většina lidí překvapena - jak moc se cítí lépe.

Nejde o „krásu“. Jde o to, že budete moci jíst, mluvit a usmívat se bez obav. A to je důležitější než všechny reklamy na bílé zuby.

Můžu odstranit zubní kámen pod dásní doma pomocí nitě?

Ne. Zubní kámen pod dásní je tvrdý vápenitý návrh, který se přilepí k povrchu zubu a do jeho struktury. Zubní nit může odstranit plak, ale nikoli kámen. Pokusy o „vytáhnutí“ kamene nití mohou způsobit poškození dásní, zánět nebo dokonce ztrátu zubu. Jediný bezpečný způsob je profesionální čištění u zubního hygienika.

Je čištění pod dásní bolestivé?

Ve většině případů ne. Ultrazvukové čištění je klidné a jemné. Pokud máte zánět nebo citlivé dásně, lékař vám může aplikovat lokální anestetikum - jen na povrch dásně. To není injekce do zubu, ale jemný výpar. Mnoho pacientů říká, že to bylo méně nepříjemné, než si představovali. Po čištění může být dočasná citlivost, ale to zmizí během několika dní.

Jak často bych měl jít na čištění pod dásní?

Pokud máte zubní kámen pod dásní, doporučuje se první čištění ihned. Poté je vhodné navštěvovat hygienika každých 6-12 měsíců. Pokud máte historii zánětů dásní, může lékař doporučit častější návštěvy - například každých 3-4 měsíce. Pravidelná prevence je levnější než léčba ztráty zubů.

Může zubní kámen pod dásní způsobit ztrátu zubů?

Ano. Kámen pod dásní je jednou z hlavních příčin parodontitidy - zánětu, který ničí kost kolem zubu. Když kost zanikne, zub ztrácí oporu a začne se hýbat. V konečném důsledku může zub padnout. Podle dat z roku 2025 je 41 % ztrát zubů u dospělých v Česku přímo spojeno s nelečeným zubním kamenem pod dásní.

Je možné odstranit zubní kámen bez návštěvy zubního hygienika?

Ne. Žádná domácí metoda - ani nejlepší pasty, roztoky, nebo „triky“ - nedokáže odstranit kámen pod dásní. Kámen je přilepený na zubu a v dásních, a vyžaduje speciální nástroje a odborné znalosti. Pokud se snažíte to udělat sám, riziko poškození dásní a zubů je vysoké. Odborné čištění je jediný bezpečný a účinný způsob.

Zpět nahoru