Celokeramické fazety: Jak vyřešit problémy s chybějícími nebo poškozenými zuby

  • Domů
  • Celokeramické fazety: Jak vyřešit problémy s chybějícími nebo poškozenými zuby
Celokeramické fazety: Jak vyřešit problémy s chybějícími nebo poškozenými zuby

Výpočet nákladů na ceramické fazety

Výpočet odhadu nákladů

1–10

Odhadované náklady

Počet zubů: 0

Typ zákončení:

Celková cena: 0 Kč

Varování: Tento výpočet je pouze odhad. Skutečné náklady se liší podle města, zkušenosti lékaře a individuálního případu.

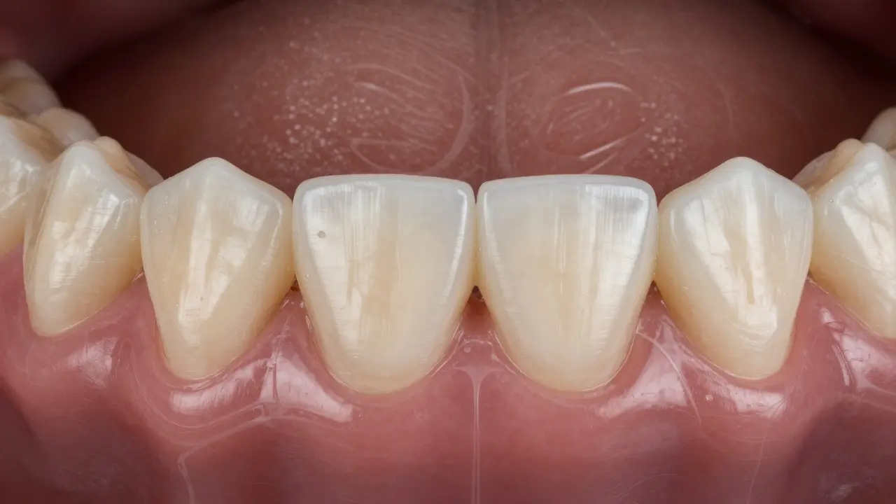
Celokeramické fazety jsou jedním z nejefektivnějších způsobů, jak obnovit vzhled a funkci poškozených nebo chybějících zubů. Pokud máte zuby, které jsou zčernělé, poškrábané, příliš tenké, nebo jste ztratili některé z nich, fazety mohou být řešením, které vypadá přirozeně a funguje jako skutečný zub. Na rozdíl od klasických korunek nebo mostů nevyžadují tak velké odběr zubního materiálu a zachovávají co nejvíce původní struktury zubu.

Co jsou celokeramické fazety a jak fungují?

Celokeramické fazety jsou tenké vrstvy keramiky, které se přilepují přímo na přední povrch zubu. Vyrábějí se z vysokokvalitní zubní keramiky, která imituje barvu, průhlednost a lesk přirozeného zubu. Výroba probíhá v laboratoři podle přesného odtisku vašich zubů, takže každá fazeta je jedinečně přizpůsobená. Po přilepení se stávají neviditelnými - ani zubní lékař nebo vaši přátelé si nevšimnou, že jde o náhradu.

Na rozdíl od metalokeramických korunek, které mají kovové jádro, celokeramické fazety nemají žádný kov. To znamená, že nevznikají tmavé obrysy u dásní, které se často objevují s věkem. Kromě toho je keramika biokompatibilní - nezpůsobuje alergie a neodpovídá na kyselé potraviny nebo nápoje.

Kdy jsou celokeramické fazety vhodné?

Není to jen o estetice. Fazety pomáhají i s funkcí. Zvažte je, pokud máte:

  • Problematiku s poškozenými zuby - například zuby po úrazu, které mají štěrbiny, zlomeniny nebo větší chybějící části.
  • Zuby, které jsou zčernělé nebo nerovnoměrně zabarvené - i když jste dělali bleaching, barva se nezlepšila.
  • Malé mezery mezi zuby (diastemy), které nechcete uzavřít ortodontickými bráčkami.
  • Zuby, které jsou příliš malé nebo tenké - často se stává po dlouhodobém opotřebení nebo bruxismu.
  • Chybějící zuby, kde není možné nebo nechcete dělat implantát - fazety mohou sloužit jako náhrada na sousedních zubech.

Na rozdíl od zubních mostů, které vyžadují odběr zubů z obou stran, fazety mohou být aplikovány i na jediný zub. Například pokud jste ztratili střední řezák, může být fazeta přilepena na sousední zuby a vytvořit přirozený efekt bez nutnosti odebírat zdravé zuby.

Co se stane během léčby?

Postup je jednoduchý a obvykle probíhá ve dvou návštěvách.

  1. První návštěva: Lékař si udělá odtisk vašich zubů a zároveň mírně odběre plochu z předního povrchu zubu - obvykle jen 0,3 až 0,7 mm. To je potřeba, aby fazeta nevypadala příliš tlustá. Poté se provede digitální snímání nebo se vyrobí fyzický odtisk, který se pošle do laboratoře. Na dobu, než budou fazety připraveny, vám dá dočasnou ochranu - obvykle plastové plátky, které chrání zuby a zůstávají na několik dní.
  2. Druhá návštěva: Fazety jsou připraveny. Lékař je nejprve zkusí na zubech, aby se ujistil, že odpovídají tvaru, barvě a přirozenému vzhledu. Pokud jste spokojeni, zubní klinika je pečlivě přilepí pomocí speciálního kompozitního lepidla, které je vysoce odolné proti stlačování a barvení. Celý proces trvá 30-60 minut.

Po dokončení nemusíte mít žádné omezení. Můžete jíst, pít, mluvit a usmívat se stejně jako dříve. Neexistuje žádná doba potřebná k přizpůsobení - fazety se chovají jako vaše původní zuby.

Co se stane, když mám chybějící zub?

Chybějící zub může způsobit více než jen estetický problém. Zbytek zubů se začne posouvat do prázdného místa, což může vést k nesrovnalostem v úchytu, bolestem čelisti a dokonce k úbytku kosti. Fazety samotné nejsou řešením pro chybějící zub - ale mohou být součástí řešení.

Pokud máte jediný chybějící zub a nechcete implantát, může lékař navrhnout fazetu na most. To znamená, že se fazety přilepí na dva sousední zuby a mezi nimi se vytvoří umělá náhrada. Tento přístup je méně invazivní než klasický most a nevyžaduje odběr tak velkého množství zubní tkáně. Je vhodný zejména pro pacienty, kteří mají zdravé sousední zuby, ale nechtějí chirurgii.

Naopak, pokud je chybějící zub v pozici, kde není možné použít most (např. poslední zub v řadě), je jediným spolehlivým řešením implantát. Fazety v tomto případě mohou sloužit jako krycí prvky pro implantovanou korunku, aby vypadala přirozeněji.

Side-by-side comparison of a damaged tooth and a restored one with a lifelike ceramic veneer.

Jak dlouho vydrží celokeramické fazety?

Kvalitně vyrobené a správně přilepené fazety mohou vydržet 15 až 20 let - někdy i déle. Klíčem je nejen materiál, ale i péče. Neexistuje žádná „životnost“ zaručená výrobcem, protože vše závisí na vašem chování.

Co zkracuje životnost fazet:

  • Bruxismus (škrábaní zubů ve spánku) - bez ochranného zubního štítu může dojít k poškrábání nebo rozštěpení keramiky.
  • Časté kousání tvrdých předmětů - třeba oříšky, led, nebo dokonce tužky.
  • Špatná hygiena - zubní kámen a zánět dásní mohou způsobit, že se lepidlo uvolní a fazeta spadne.
  • Nepravidelné návštěvy zubního lékaře - každých 6 měsíců je potřeba kontrolovat stav lepidla a povrchu.

Na druhé straně, pokud se řídíte doporučeními, můžete mít fazety po celý život. Mnoho pacientů, kteří si je dělali v roce 2010, je má stále - a vypadají jako nové.

Co je lepší: fazety nebo implantáty?

To závisí na vaší situaci. Implantáty jsou nejlepší pro úplně chybějící zuby, protože nahrazují kořen i korunu. Fazety ale mají výhody tam, kde zub ještě existuje, ale je poškozený.

Porovnání celokeramických fazet a implantátů
Aspekt Celokeramické fazety Implantáty
Co nahrazují Přední povrch poškozeného zubu Celý zub (kořen + koruna)
Je potřeba chirurgie? Ne Ano (vložení šroubu do čelisti)
Doba léčby 2 návštěvy (1-2 týdny) 3-9 měsíců (včetně hojení kosti)
Údržba Stejná jako u přirozených zubů Stejná, ale vyžaduje pravidelné kontroly
Cena za jeden zub 12 000-18 000 Kč 25 000-35 000 Kč
Vhodné pro Nezdravé, ale stále existující zuby Úplně chybějící zuby

Fazety jsou tedy ideální, když chcete rychlé, neinvazivní a levnější řešení. Implantáty jsou výběr pro trvalé, nejvíce přirozené řešení, když zub už není.

Co se stane, když fazeta spadne?

Není to běžné, ale může se stát - například po úrazu nebo pokud jste nezachovali hygienu. Pokud se fazeta uvolní:

  • Nevyhozujte ji - uložte ji v čisté vodě nebo v mléce.
  • Nepokoušejte se ji znovu přilepit doma - to může poškodit povrch.
  • Navštivte zubního lékaře do 48 hodin.

Lékař může často fazetu znovu přilepit. Pokud je poškozená, vyrobí novou. Většina klinik má záruku na 5 let - pokud se fazeta uvolní kvůli výrobní chybě, obvykle se nahradí zdarma.

A missing front tooth replaced by a ceramic bridge bonded to adjacent teeth, blending naturally with surrounding dentition.

Co je důležité vědět před zahájením léčby?

  • Není to léčba pro všechny. Pokud máte silný bruxismus, zubní lékař nejprve doporučí nošení nočního štítu. Bez něj se fazety rychle poškrábou.
  • Barva je trvalá. Fazety nezbarvují jako přirozené zuby. Pokud plánujete bleaching, musíte ho udělat před instalací fazet - jinak budou vaše přirozené zuby světlejší než fazety.
  • Nejsou to záchranný systém pro špatnou hygienu. Pokud máte zánět dásní nebo kámen, musíte to nejprve vyléčit. Jinak se fazeta přilepí na nezdravý zub - a spadne.
  • Neexistuje žádná „náhrada za všechno“. Fazety nezlepší funkci žvýkání u zadních zubů. Jsou určeny pro přední část úst - tam, kde se vidí.

Co můžete očekávat po instalaci?

Po přilepení se může zdát, že vaše zuby jsou „těžší“ nebo že se mluví jinak. To je normální a trvá 2-5 dní. Vaše jazyk a ústa se přizpůsobí novému tvaru. Po týdnu už to nebudete vůbec cítit.

Nejčastější zpětná vazba od pacientů je: „Nemohu si přestat usmívat.“ Nebo: „Nikdy jsem nevěděl, že můj úsměv může být tak přirozený.“

Kdo to dělá a kde?

Není každý zubní lékař schopen vyrobit kvalitní fazety. Hledáte lékaře, který má:

  • Pracovní zkušenosti s digitálními odtisky (např. CEREC nebo Itero).
  • Spolupráci s laboratoří, která vyrábí zubní keramiku z vysokého obsahu zirkonie.
  • Ukázky před a po - ne jen fotografie, ale i video.
  • Reference od pacientů, kteří mají fazety už 10 let.

Nejlepší výsledky mají ti, kteří se specializují na estetickou stomatologii. Nezaměřujte se jen na cenu. Výběr lékaře je důležitější než výběr materiálu.

Můžu si dát celokeramické fazety, když mám křivé zuby?

Ano, ale pouze pokud jsou křivosti mírné. Fazety mohou skrýt drobné nesrovnalosti, jako jsou malé překryvy nebo šikmé řezáky. Pokud je křivost větší než 2-3 mm, lékař doporučí nejprve ortodontickou léčbu. Fazety nejsou náhradou za bráčky - jsou to estetický pokryt pro zuby, které už jsou ve správné pozici.

Můžou fazety způsobit bolest?

Během vlastního zasazení nebo po něm nebyla zaznamenána žádná bolest. Může dojít k dočasné citlivosti na teplotu, pokud byl zub během přípravy trochu odběr. To ustupuje během několika dní. Pokud trvá déle než týden, je potřeba navštívit lékaře - může být problém s lepidlem nebo přílišným tlakem.

Jsou fazety vhodné pro starší lidi?

Ano, a často jsou dokonce ideální. U starších pacientů se často vyskytují zčernělé zuby, ztráta skloviny nebo opotřebení. Fazety mohou obnovit vzhled bez nutnosti odstraňovat zdravé zuby. Důležité je, aby byly zdravé dásně a kost. Pokud máte osteoporózu nebo dlouhodobý zánět dásní, lékař nejprve zkontroluje, zda je možné fazety bezpečně přilepit.

Je možné dělat fazety na zuby s plomby?

Ano, ale pouze pokud je plomba malá a neovlivňuje stabilitu zubu. Pokud je plomba velká nebo se nachází pod krajem fazety, může dojít k úniku lepidla a následnému zánětu. V takovém případě se nejprve odstraní plomba, zub se očistí a doplní nový, menší náhradní materiál - a teprve pak se aplikuje fazeta.

Můžu si dát fazety jen na horní zuby?

Ano, to je velmi běžné. Mnoho lidí chce obnovit pouze horní část, protože to je to, co vidí jiní. Pokud máte dolní zuby v dobrém stavu, není potřeba je upravovat. Výsledek je přirozený - jen horní zuby jsou perfektní, dolní zůstávají přirozené. To je většinou nejlepší řešení pro estetiku a rozumnou cenu.

Zpět nahoru