Jak poznat prasklou zubní sklovinu a co s tím dělat?

  • Domů
  • Jak poznat prasklou zubní sklovinu a co s tím dělat?
Jak poznat prasklou zubní sklovinu a co s tím dělat?

Nástroj pro vyhodnocení praskliny

Označte příznaky, které máte

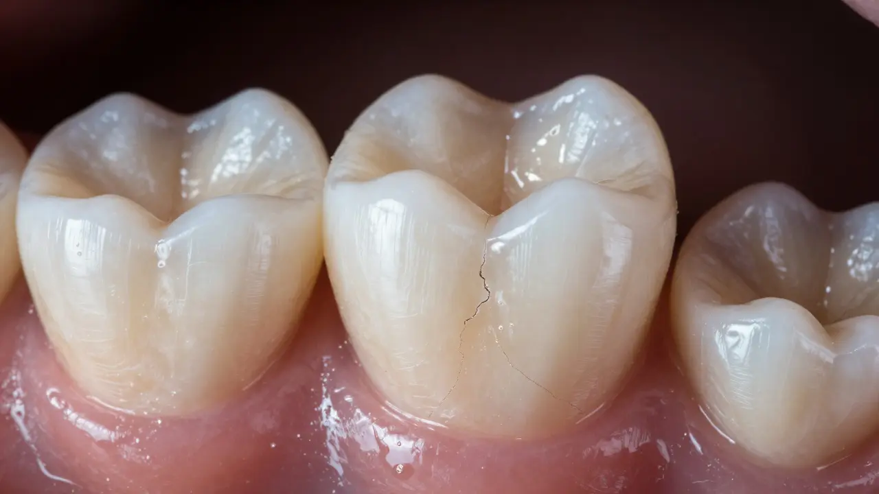
Prasklá zubní sklovinu si často nepřipisujete k žádnému konkrétnímu příčině. Možná jste jen jednou něco tvrdého požírali, nebo vás při nočním bruxismu bolel zub, ale nevěděli jste, proč. A pak jednoho dne si všimnete, že při kousnutí do jablka nebo při pítí studeného nápoje vás zub náhle škrtí. To není jenom citlivost. To může být prasklina ve sklovině - a pokud ji necháte být, může se z ní stát velký problém.

Co je vlastně prasklá zubní sklovinu?

Zubní sklovinu je ta nejtvrdší část zubu, která chrání zubní denty a nervy. Když se v ní objeví jemná trhlina, neznamená to, že se zub rozbil. Prasklina může být tak tenká, že ji nevidíte ani na zrcátku. Ale i tak může způsobovat bolest - a to proto, že při kousnutí se sklovinu otevírá a zavírá, jako když se otevírá a zavírá dveře. Když se otevře, studený nebo teplý nápoj, nebo sladká potrava pronikne dovnitř a podráždí nerv. Když se zavře, zub se napětí a bolest se zvýší.

Tyto trhliny se nejčastěji objevují u molárů, protože tam je největší zátěž při žvýkání. Ale mohou se objevit i u řezáků, pokud jste někdy zubem rozlomili oříšek nebo otevřeli láhev. Někdy je příčinou i bruxismus - když v noci zuby škrábate nebo tlačíte na sebe. V takovém případě se praskliny vytvářejí postupně, až se jednoho dne objeví bolest.

Jak poznat, že máte prasklou zubní sklovinu?

Není to tak jednoduché jako zápal dásní. Prasklina se neukazuje na rentgenu, až pokud je už velká. Ale má to své znaky:

  • Bolest při kousnutí - zvlášť když uvolníte zub z nátlaku. Například kousnete do chleba a najednou vás to bolí, ale když přestanete, bolest zmizí.
  • Citlivost na teploty - studené nebo horké jídlo a nápoje vás bolejí, ale ne vždy, jen náhodně. To je odlišné od běžné citlivosti, která trvá déle.
  • Bolest, která přichází a odchází - není tam každý den, ale najednou vás to znovu škrtí, když jste snědli něco tvrdého.
  • Bolest při žvýkání na jedné straně - pokud vás to bolí jen při kousnutí zprava, ale ne zleva, je to častý příznak.

Někteří lidé si myslí, že když nevidí trhlinu, tak není. Ale to je chyba. Pokud máte tyto příznaky více než týden, nečekáte na to, že to přejde samo. To se nezmění. Prasklina se jen zhoršuje.

Co se stane, když to necháte být?

Když prasklinu ignorujete, není to jenom bolest. Sklovinu se začne rozšiřovat. Nejprve se trhlina dostane do dentiny - to je vrstva pod sklovinou, která je měkčí a má více cév. Tam se začne šířit rychleji. Když se dostane až k zubnímu nervu, nastane zánět. A ten se nevysvětlí jenom zubním lékařem. Může se stát, že zub přestane reagovat na teploty, protože nerv zemřel. Ale to neznamená, že je všechno v pořádku. Naopak - infekce se šíří do čelisti, může vzniknout absces, a pak už nejde jen o zub. Může se rozšířit na obličej, krk, dokonce na mozek.

Nejhorší případ: zub se rozpadne. A když se rozpadne, nezbývá jiná možnost než ho vytrhnout. A to je nákladné, dlouhé a nepříjemné. Může se stát, že potřebujete náhradu - most, implantát nebo protézu. A to všechno by se dalo zabránit, kdybyste při prvních příznacích šli k lékaři.

Osoba cítí bolest při kousnutí jablka, s náznakem praskliny uvnitř zubu.

Co dělat, když si myslíte, že máte prasklou zubní sklovinu?

První krok je jednoduchý: nejděte k zubnímu lékaři. Nečekáte, až vás to bolí víc. Nezakládáte to na domácích řešeních - jako je česnek, solný kašel nebo zubní pasty proti citlivosti. Ty mohou dočasně zmírnit bolest, ale neřeší příčinu.

Zubní lékař si nejprve položí otázky: Kdy to začalo? Co vás to bolí? Je to jen při kousnutí? Potom udělá prohlídku. Použije zvláštní světlo a zrcátko, aby prohledal povrch zubu. Někdy použije i speciální barvu, která se zaryje do trhliny a zviditelní ji.

Nejčastější metoda je diagnostická zátěž. Lékař vám dá na zub speciální plastový prvek, kterým tlačíte. Když vás to při tlačení bolí, a při uvolnění také, je to skoro jistá prasklina.

Na rentgenu se prasklina nevidí - ale rentgen se používá, aby se vyloučily jiné příčiny, jako je kávová díra nebo zánět kořene.

Jak se prasklina léčí?

Léčba závisí na tom, jak hluboká je prasklina. Neexistuje jedno řešení pro všechny.

  • Malá trhlina jen ve sklovině - lékař vám zub vyplní kompozitním materiálem, stejným jako při plombování. To zabraňuje, aby se trhlina rozšiřovala. Často to stačí. Není to invazivní, a zub zůstane celý.
  • Trhlina sahá do dentiny - pak je potřeba více materiálu. Lékař může použít vložku (inlay nebo onlay), která je vyrobená v laboratoři a přesně sedí na zubu. To je pevnější než obyčejná plomba.
  • Trhlina se blíží k nervu - pokud je nerv podrážděný, ale ještě živý, může lékař zub vyčistit a zapečetit, ale neodstraňuje nerv. Pokud je nerv mrtvý nebo infikovaný, je potřeba léčba kořenových kanálků. Poté se zub zpevní krovem a pokryje korunkou.
  • Velká prasklina, která sahá až ke kořeni - pokud je trhlina příliš hluboká, zub už nelze zachránit. Musí být vytažen. Ale to je poslední možnost. Většina prasklin lze zachránit, pokud přijdete včas.

Ve všech případech je klíčové, aby zub po léčbě byl chráněn. Lékař vám může doporučit noční štít na zuby, pokud máte bruxismus. To je jednoduché, ale účinné řešení, které zabraňuje dalším poškozením.

Zubní lékař diagnostikuje prasklinu pomocí speciálního světla a barvy.

Co můžete dělat doma, abyste předešli prasklině?

Nejlepší léčba je prevence. A to neznamená jenom čistit zuby. Tady je co můžete dělat:

  • Přestanete kousat tvrdé věci - ořechy, kosti, led, otevírání láhví zuby. To není jen nebezpečné - je to hloupé.
  • Používejte noční štít - pokud víte, že v noci zuby škrábate, štít je nejlevnější a nejúčinnější ochrana. Stojí kolem 1500 Kč, ale ušetří vám tisíce.
  • Nejedzte příliš sladké nebo kyselé potraviny - kyselina oslabuje sklovinu a činí ji křehčí. Kofe, limonády, ovoce, kyselé zelí - všechno to může přispět k poškození.
  • Chodíte na pravidelné prohlídky - každých 6 měsíců. Lékař uvidí malé změny, které vy nevidíte. A může je zastavit dřív, než se stane problém.

Je prasklá zubní sklovinu nebezpečná?

Ano. Ale ne proto, že by se zub rozpadl hned. Je nebezpečná proto, že je tichá. Nemá výrazné příznaky, jako kávová díra. Lidé ji často ignorují, dokud není příliš pozdě. A pak je léčba náročnější, dražší a bolestivější.

Největší chyba je čekat. Když vás zub bolí jen někdy, neříkejte si: „To už se to přejde.“ Když se bolest opakuje, jde o varování. A jako každé varování, mělo by se brát vážně.

Zubní lékaři v Česku vidí každý měsíc desítky pacientů s prasklými sklovinami. Většina z nich přišla až po týdnech nebo měsících bolesti. A většina z nich by mohla být zachráněna, kdyby přišli dřív.

Co dělat hned teď?

Než se rozhodnete, zda to zanedbat, udělejte toto:

  1. Připomeňte si, kdy jste naposledy cítili bolest při kousnutí.
  2. Zkontrolujte, jestli se bolest opakuje, i když jen někdy.
  3. Nejedzte žádné tvrdé věci alespoň 3 dny - ne ořechy, ne led, ne chléb s kůrou.
  4. Pokud bolest zmizí - to neznamená, že je všechno v pořádku. To znamená, že se trhlina zatím neotevírá.
  5. Zavolejte na zubního lékaře a řekněte: „Mám podezření na prasklou sklovinu. Můžu přijít na kontrolu?“

Nečekáte na víkend. Nečekáte, až vás to bolí víc. Zdraví zubů není náhoda. Je to výsledek rozhodnutí - a to nejlepší rozhodnutí je jít na prohlídku, když to ještě jde.

Může prasklá zubní sklovinu být vidět na rentgenu?

Obvykle ne. Malé praskliny ve sklovině jsou příliš tenké, aby se na rentgenu zobrazily. Rentgen se používá hlavně k vyloučení jiných problémů, jako je kávová díra nebo zánět kořene. Diagnostika praskliny se dělá vizuálně - pomocí zrcátek, speciálního světla a testů tlaku.

Je prasklina v zubu stejná jako kávová díra?

Ne. Kávová díra je poškození způsobené bakteriemi, které rozkládají sklovinu. Prasklina je fyzická trhlina, která vznikla kvůli mechanickému zatížení - třeba kousnutí do tvrdého předmětu nebo bruxismu. Oba problémy mohou vést k bolesti, ale jejich příčiny a léčba jsou jiné.

Může prasklina zubu být léčena bez plomby?

Ano, ale jen pokud je velmi malá. Někdy stačí jen vyhladit hranu trhliny a zpevnit povrch. Pokud je trhlina hlubší, je potřeba plomba nebo vložka. Bez jakéhokoli zákroku se prasklina bude rozšiřovat.

Jak dlouho trvá léčba prasklé sklovinu?

Záleží na tom, jak hluboká je prasklina. Malá trhlina se vyplní během jedné návštěvy - to trvá 30-60 minut. Vložka nebo korunka vyžaduje dvě návštěvy. Léčba kořenových kanálků může trvat 2-4 návštěvy. Čím dřív přijdete, tím rychlejší a jednodušší bude léčba.

Je prasklá zubní sklovinu důvod k vytažení zubu?

Pouze v případě, že prasklina sahá až ke kořeni a zub už nelze zachránit. To se stává jen u zhruba 10 % případů. Ve většině případů se zub dá zachránit plombou, vložkou nebo korunkou. Vytažení je poslední možnost, ne první.

Zpět nahoru